Loja
Apoio: Roche

Saiba onde descartar seus resíduos

Verifique o campo
Inserir um CEP válido
Verifique o campo

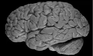
A mente é aquilo que abrange os pensamentos, ações e entendimentos humanos em um sentido figurativo

A mente é um conceito que define o estado de consciência ou subconsciência humana, ou seja, está diretamente atrelada ao ato de pensar. Apesar disso, a mente não pode ser tida como um sinônimo do cérebro. Afinal, em tese, o órgão é definido como a parte física da mente — termo que determina todas as suas funções.

universo
Cérebro humano tem inusitada semelhança com o universo, afirmam cientistas

Similaridades entre redes neurais do cérebro humano e a complexa estrutura cósmica intrigam cientistas

De forma simplificada, a mente descreve as funções do cérebro humano, principalmente quando se trata de funções cognitivas e humanas e potência intelectual. A palavra “mente” vem do latim “méntem”, que pode ser traduzido como “pensar, conhecer, entender”, mas também pode significar “medir”. Isso porque, em teoria, uma pessoa que pensa e tem consciência “mede e pondera suas ideias”.

A mente costuma ser atribuída às funções cerebrais como: interpretação, desejos, temperamento, imaginação, linguagem e os sentidos. No entanto, ela também tem relação com ações inconscientes, como o pensamento, a razão, a memória, intuição, inteligência, sonho, sentimento, ego e superego. 

A conduta de uma pessoa também é comumente atrelada à mente, sendo assim, a forma como ela funciona determinará como esse indivíduo lida com o mundo. Por exemplo: alguém mente aberta tem mais facilidade de obter informações externas não vistas antes, processá-las e aceitá-las. 

Qual é a função da mente?

Uma hipótese, criada pelo estudioso Karl Friston, é a Mente Hierarquicamente Mecanizada (HMM). De acordo com o pesquisador, a mente funciona como uma máquina de previsões que busca melhorar o seu modelo de mundo através de ciclos adaptativos de percepção e ação, que trabalham sinergicamente para reduzir a incerteza do ambiente em que vivemos. 

Por exemplo, quando uma criança vê um cachorro latindo pela primeira vez, ela vai achar estranho e pode até mesmo acabar chorando. Porém, com o passar do tempo, essa criança pode perceber que o animal late sempre que vê um gato passando na janela. Sendo assim, ela vai internalizar isso em seu cérebro, e se tiver boas experiências com cachorros, vai deixar de se assustar e até mesmo procurar pelo gato que alarmou seu bicho de estimação. 

O conceito é construído a partir da ideia de que o cérebro é composto de componentes com diferentes funções, que se comunicam e trocam informações de maneira hierárquica e integrada. Enquanto algumas partes do órgão servem para processar estímulos e gerar movimentos, outras, como o córtex pré-frontal, são responsáveis pelo processamento de informações e tomada de decisões. 

Os pensamentos humanos, sentimentos e ações, tudo o que forma a mente, são determinados por um complexo processo de integração a longa distância. Ele é criado por populações de células especializadas, conectadas a outras regiões do corpo, que desempenham diferentes funções.  

Existem diversos estudos que comprovam que o cérebro funciona como uma grande estrutura hierárquica que está conectada de ponta a ponta. Essa estrutura complexa do órgão permite a ele otimizar o equilíbrio entre o processamento local e a função cerebral global. Algumas pesquisas apontam que essa característica é comum em mamíferos.

Divisão da mente

Alguns especialistas dividem a mente da seguinte forma:

Consciente: a parte do pensamento que as pessoas estão cientes e que pode ser alterada caso entre em contato com um argumento pertinente. Geralmente é o que as pessoas pensam quando se referem à mente.

Inconsciente: trabalha em organizar as diversas informações no cérebro. Como um comodo grande repleto de gavetas com dados, que são armazenados para serem lembrados futuramente;

Subconsciente: detector de padrões, responsável por perceber que uma situação já aconteceu antes. De forma exemplificada: uma pessoa ouve seu estômago fazendo barulho, e por já ter passado por isso anteriormente, sabe que está com fome. 

Cérebro “prefere” alimentos que sejam mais calóricos aos mais saborosos para armazenar energia

Se preferir, vá direto ao ponto Esconder 1. A pesquisa verificou que o valor calórico e a reação de sabor evocam diferen…

Quem estuda a mente?

As principais áreas de estudo da mente são a neurociência e a psicologia. A primeira é responsável por compreender o seu funcionamento, por meio da atividade cerebral. Enquanto a segunda estuda o comportamento da mente, levando em consideração práticas psicoterápicas que provocam alterações na atividade neural do cérebro. 


Utilizamos cookies para oferecer uma melhor experiência de navegação. Ao navegar pelo site você concorda com o uso dos mesmos. Saiba mais